Оказывается, пройти флюорографию в разгар COVID-19 – задача из разряда вполне выполнимых. Практически в каждой районной больнице ЕАО установлены новые флюорографические аппараты, сообщает LIVE Биробиджан.
Флюроографы установлены в Теплоозёрске, Облучье, Амурзете, Ленинске, Валдгейме, Смидовиче и Николаевке. А пока «флюороаппарат» Биробиджана находится на ремонте, биробиджанцы могут сделать флюорографию в Валдгеймской ЦРБ.
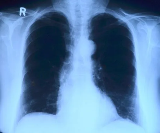
Районная больница Валдгейма принимает до 70 пациентов в день, а областная больница Биробиджана выручает коллег кадрами. Врачи констатируют, что среди обследуемых есть случаи заболевания пневмонией. Медработники предупреждают, что пренебрегать обследованием лёгких не стоит, флюорографию нужно проходить регулярно – один раз в год.
Добраться до Валдгейма из Биробиджана можно на автобусе №101.
К слову, работа районных флюорографов находится под постоянным контролем, что позволяет не допустить сбоев в обследовании пациентов жителей ЕАО.
ССЫЛКИ ПО ТЕМЕ:
Современный рентгенологический кабинет открыли в п. Николаевка ЕАО
Техническая база Николаевской больницы пополнилась современным флюорографом
